Ev / Haberler / Sektör haberleri

Owen

Haber Merkezi

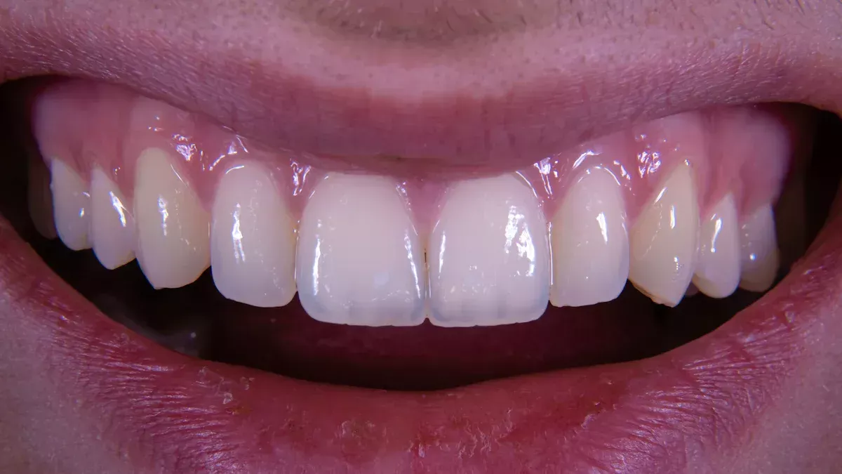
Diş Parlatma ile Diş Beyazlatma Aynı Şey midir?
2025-10-16

Hayır, diş parlatma ile diş beyazlatma aynı şey değildir. Diş cilalama yüzeydeki lekeleri giderir. Ayrıca dişlerinizin pürüzsüz olmasını sağlar. Beyazlatma dişlerinizin renginin daha açık görünmesini sağlar. Çoğu insanın yaklaşık %78'i farklı olduklarını biliyor.

Profilaksi Fırçası Nedir?
2025-10-09

Profilaksi fırçası, diş hekimi ziyaretleri sırasında dişlerinizi temizlemenize ve cilalamanıza yardımcı olur. Ouwen Medical, nazik bakım için yumuşak kıllarla en kaliteli seçeneği sunar. Daha iyi hijyen için tek kullanımlık bir tasarıma sahip olursunuz. Lekeleri çıkarmak ve gülümsemenizi parlak tutmak için profilaktik macunla birlikte kullanın.

Piyasadaki En İyi Diş Profilaksi Fırçaları Hangileridir?
2025-10-13

Sürekli gelişen diş bakımı dünyasında profilaktik fırçalar koruyucu diş hekimliğinde kritik bir rol oynamaktadır. Ağız hijyeni hem uygulayıcılar hem de hastalar için en önemli öncelik haline geldiğinden, doğru profilaktik fırçanın seçilmesi, sağlanan bakımın kalitesini önemli ölçüde etkileyebilir.

Tasarım, ürün geliştirme ve üretim alanında güçlü bir geçmişe sahip bir şirkete soru göndermeye hoş geldiniz.

ÜRÜN KATEGORISI

HıZLı BAĞLANTıLAR

BİZE ULAŞIN

No.8 Gongling İkinci Yol, Shuxin Village, Changping Town, Dongguan City, Guangdong Eyaleti, Çin
+86-13929448890 / +86-13713374574
+86-13929448890 / +86-13713374574
+86-769-81099096
+86-769-81099586
Telif Hakkı 2025 Dongguan Ouwen Medical Device Technology Co.,Ltd . Sitemap | Gizlilik Politikası